Worth a Closer Look: May 2019

magnifying_glass_research_article

A list of papers published in May 2019 that piqued my interest

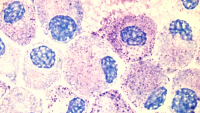
Mast Cells Contribute to Osteoarthritis

mast_cells

Osteoarthritis is the form of arthritis that many people develop as they age. It is associated with breakdown of the cartilage in joints, causing pain and difficulty moving the affected joint. In contrast to rheumatoid arthritis, which is an autoimmune disease, osteoarthritis is thought to arise from mechanical wear and tear of the joint or … Read more